威尼斯人app

威尼斯人app 孙见凡老师在Journal of Hazardous Materials杂志上发表最新研究成果

时间:2024-05-23  来源:  作者:   点击数:

近日,威尼斯人app 环境生态与修复团队孙见凡老师在Journal of Hazardous Materials (IF: 13.6)上发表最新研究成果“Cadmium induced defense enhance the invasive potential of Wedelia trilobata under herbivore infestation”。威尼斯人app 为第一完成单位,威尼斯人app 外籍博士后Mohsin Nawaz为第一作者,孙见凡老师为通讯作者。

外来植物入侵严重影响生态系统的植被覆盖与组成,降低生态系统内物种丰富度和多样性,进而影响生态系统稳定及生态功能。重金属污染作为环境污染的重要组成部分,已被广泛证明会导致生物多样性丧失、栖息地退化和生物入侵的加剧。已有研究表明,入侵植物对重金属的积累和耐受能力显著高于同属的本地植物,从而有利于其定殖和扩散,重金属污染可能会进一步促进外来植物的入侵。元素防御假说认为重金属在植物体内的富集可被作为一种化学防御手段使其免受植食性昆虫和病原体的侵害。尽管已有研究表明入侵植物对于重金属表现出较强的耐受性和富集性,然而考虑在食草昆虫的影响下,关于入侵植物在重金属胁迫下所展现出的生理防御响应如何介导其入侵能力的研究鲜有报道。因此,本研究基于“元素防御假说”,分别从形态、细胞、生理生化(抗氧化防御系统)及其功能基因表达方面阐释重金属污染介导的元素富集提高入侵植物南美蟛蜞菊的抗氧化防御系统和抗昆虫取食能力,探究其入侵能力的变化。

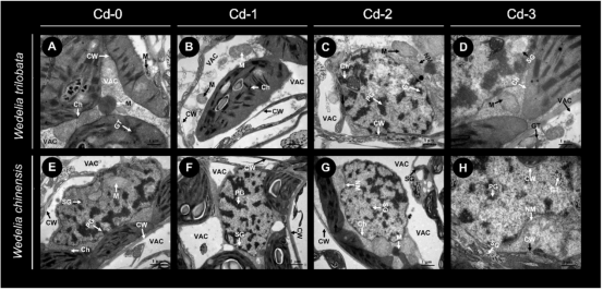
研究结果表明,重金属镉污染下,南美蟛蜞菊相比本地同属植物蟛蜞菊有更高的耐受能力,叶片中积累了更高浓度的重金属镉元素,激发了更高的酶促抗氧化系统和非酶促抗氧化系统,同时也上调了与防御系统相关的基因表达水平,进而提高了入侵植物对食草动物的抵抗力。

此外,本研究不仅丰富了入侵生态学理论,特别是重金属污染背景下外来植物入侵机理研究成果;而且在实践上为重金属污染区域外来植物的管理与防控、本地种群恢复与构建及其重金属修复提供科学的方法和理论依据。

本研究得到了国家自然科学基金项目中国(31971427)、江苏省碳峰与碳中和技术创新基金(BK20220030)、和威尼斯人app 应急管理威尼斯人app 专项科研项目(JG-03-15、KY-A-07)的资助。

文章链接://doi.org/10.1016/j.jhazmat.2024.133931

友情链接:

电话:0511-88790955 邮箱:[email protected]

地址:威尼斯人app 威尼斯人app 新大楼(基础实验楼)

copyright © 威尼斯人app-威尼斯人App平台   版本号:4.0.0